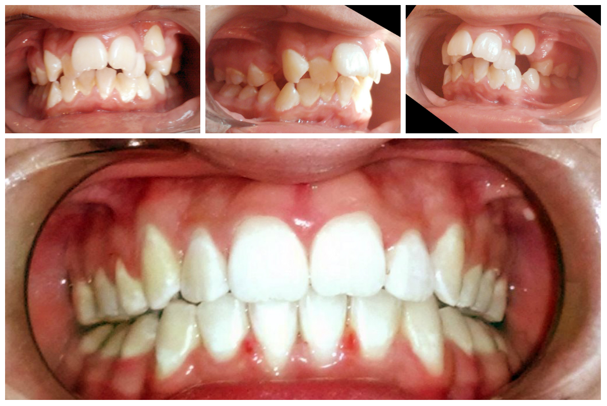
Исправить неровные зубы
Если
у
Вас или Вашего ребенка зубы выросли не
по дуге , вам поможет
врач ортодонт. Он сможет поставить
зубки на свое место.
Распространенные методы исправления положения зубов – это ношение брекетов. Лечение продолжается от 1 года до 2 лет (зависит от сложности). Брекеты можно подобрать разные по материалу и расположению: есть металлические, есть керамические, располагаться могут с фронтальной (передней) стороны зуба или с внутренней стороны (на задней поверхности).
Ниже приведена стоимость работ на сами брекеты и на лечение.
Брекет-система металлическая на 2 зубных ряда 40000
Брекет-система керамическая на 2 зубных ряда 45000
Брекет-система сапфироваяo на 2 зубных ряда 50000
Лечение на брекет-системе 1 категории сложности 70000
Лечение на брекет-системе 2 категории сложности 90000
Лечение на брекет-системе 3 категории сложности 110000


Ортодонтический прием ведется по всем нашим адресам:




