Безметалловые коронки
Ещё тридцать лет назад начало своё распространение металлокерамическое направление в протезировании зубов. На сегодняшний день протезирование металлокерамикой является одним из наиболее используемых видов, однако, не самым эстетичным и безопасным.
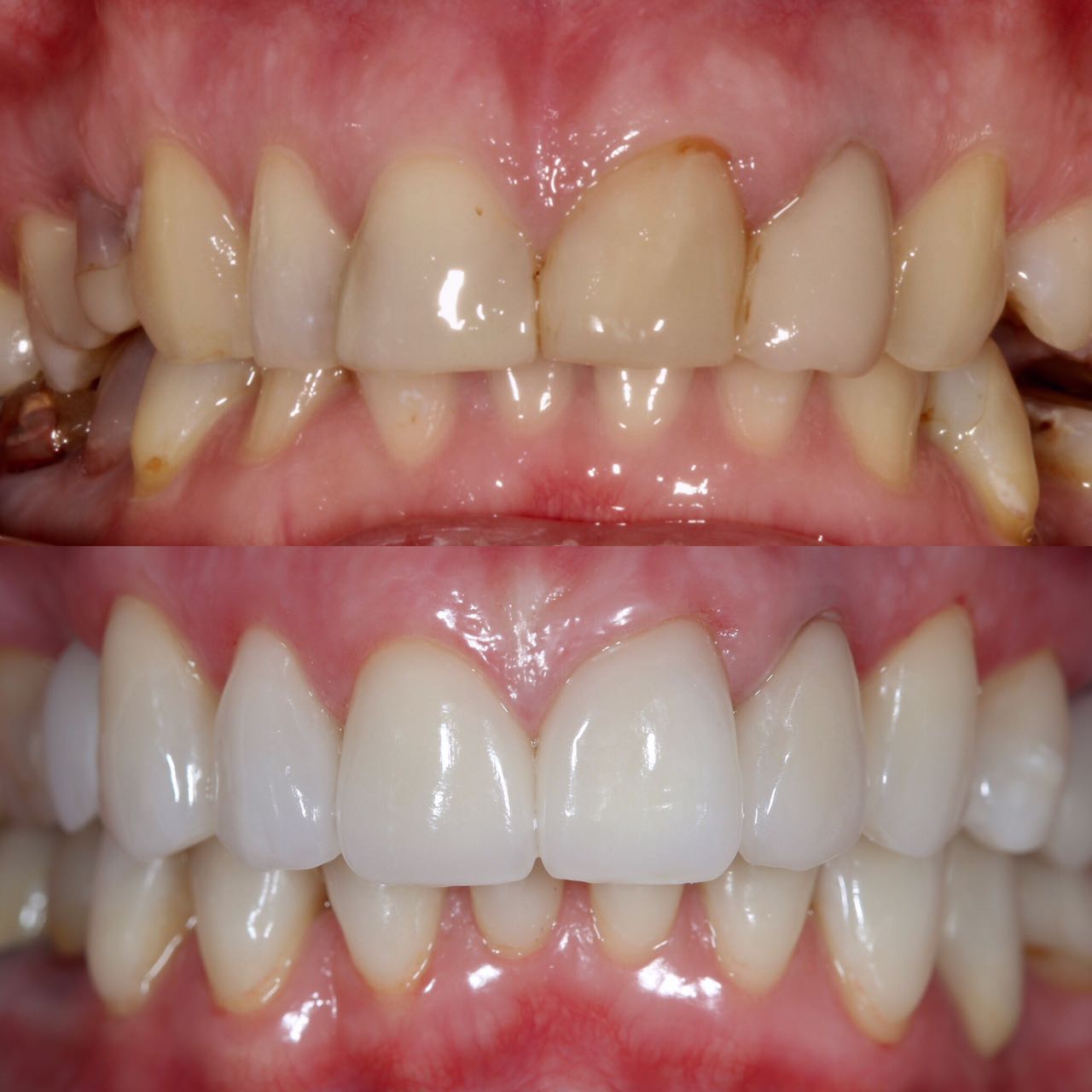
Достойной альтернативой ей стали безметалловые технологии, успешно развивающиеся в последние годы. Благодаря использованию безметаллических материалов в стоматологическом протезировании, коронки не просто стали похожи на зубы, они стали просто от них неотличимы.
Развитие технологий и материалов в современной стоматологии, на сегодняшний день сделали возможным замену металлокерамики на безметалловые протезы. Безметалловое протезирование представлено такими видами, как мостовидными и адгезивными протезами, коронками, полукоронками, штифтовыми вкладками и ламинатами. Протезы и коронки из безметалловой керамики можно устанавливать как на резцы, так и на жевательные зубы. Изделия, получаемые из таких материалов, имеют большую прочность, чем выполненные из металлокерамики, они не подвержены растрескиванию и сколам.
Получаются безметалловые протезы и коронки, путём прессования специальной керамической субстанции под высоким давлением. При изготовлении мостовидных протезов, основой для них становится каркас, который выполняется из оксида циркония, путём его спекания на протяжении 7 часов при температуре 1500 градусов Цельсия. Прочность такой конструкции сопоставима с прочностью металла. Наиболее частым использованием безметалловых протезов и коронок, является их установка на фронтальные зубы, чтобы придать улыбке красоту и высокую эстетичность, поскольку оптические характеристики таких протезов, такие как опалесцентность и транслюцентность те же, что у здоровых зубов. Помимо всего прочего, безметалловые коронки и протезы являются более нейтральными для человеческого организма, чем металлокерамические изделия. Они не вызывают аллергию и раздражение слизистой, не приводят к синюшней кромке по краю десны.
Лёгкость безметалловых конструкций позволяет не перегружать пародонт, что положительно сказывается на его состоянии. Современные специалисты в области стоматологического протезирования с ироничной улыбкой вспоминают о временах коронок, полученных штампованием. Но время и технологии не стоят на одном месте, и скоро с такой же улыбкой будут вспоминаться времена металлокерамических протезов и коронок.




