Эстетическая стоматология: протезирование зубов, керамические коронки и виниры.

В нашей клинике мы специализируемся на трех главных направлениях восстановления зубов: коронки, виниры и комплексное протезирование.
1. Коронки на зубы — надежность и долговечность
Разрушенный более чем на 50% зуб невозможно безопасно «запломбировать». Единственное правильное решение — покрытие коронкой. Мы работаем только с проверенными материалами:
· Циркониевые коронки: Биосовместимость, отсутствие аллергии, идеальная светопропускаемость, максимальная прочность. Срок службы — более 15 лет.
· Керамические коронки (E-max): Эталон эстетики. Используются для восстановления передних зубов, где важна естественность.
· Металлокерамика: Бюджетный и надежный вариант для жевательной группы зубов, сочетающий в себе прочность металла и эстетику керамики.
2. Виниры — эстетика вашей улыбки
Если зубы здоровы, но форма, цвет или размер вас не устраивают — идеальным решением станут виниры. Это тончайшие накладки (толщиной от 0,3 мм), которые крепятся на переднюю поверхность зубов.
· Исправление: сколов эмали, потемнений, которые не отбеливаются, диастем (щелей), скученности.
· Материалы: Керамические виниры (E-max) и люминиры (без обточки зубов).
· Результат: Голливудская улыбка за 5-7 дней.
3. Комплексное протезирование
Для пациентов с полным отсутствием зубов или множественными дефектами мы предлагаем:
· Протезирование на имплантах: «All-on-4» (Все на четырех). Фиксация несъемного моста на 4 имплантах. Позволяет восстановить весь зубной ряд за один день.
· Бюгельное протезирование: При частичном отсутствии зубов, когда нет возможности поставить мостовидный протез.
Почему выбирают нас?
1. Цифровая диагностика: Мы не используем «дешевые» слепки. 3D-сканирование (интраоральный сканер) исключает человеческий фактор и ошибки. Вы видите результат еще до начала лечения.
2. Собственный зуботехническая лаборатория: Мы не заказываем коронки на стороне. Работаем с одним керамистом, который знает анатомию прикуса каждого пациента. Это гарантия идеального прилегания.
Прозрачные элайнеры. Незаметно и комфортно.

Элайнеры: Улыбка мечты без боли и комплексов
Исправление прикуса незаметно для окружающих
Элайнеры (капы) — это инновационный метод ортодонтии. Это серия прозрачных, биосовместимых кап, созданных по 3D-слепку именно для вашего прикуса. Каждые 1-2 недели вы меняете капу, и зубы плавно становятся на место.
Почему выбирают элайнеры?
· Невидимость: 99% людей не замечают капы во рту. Идеально для тех, кто работает в офисе, на переговорах или ведет активную соцжизнь.
· Комфорт: Нет травм слизистой, как от брекетов. Капы гладкие и не натирают.
· Свобода: Вы сами снимаете капу во время еды и чистки зубов. Можно есть яблоки, семечки и стейки без ограничений.
· Гигиена: Чистить зубы так же просто, как обычно. Никаких труднодоступных мест под дугами.
· Скорость: Средний срок лечения — от 6 до 18 месяцев (в зависимости от сложности клинического случая).
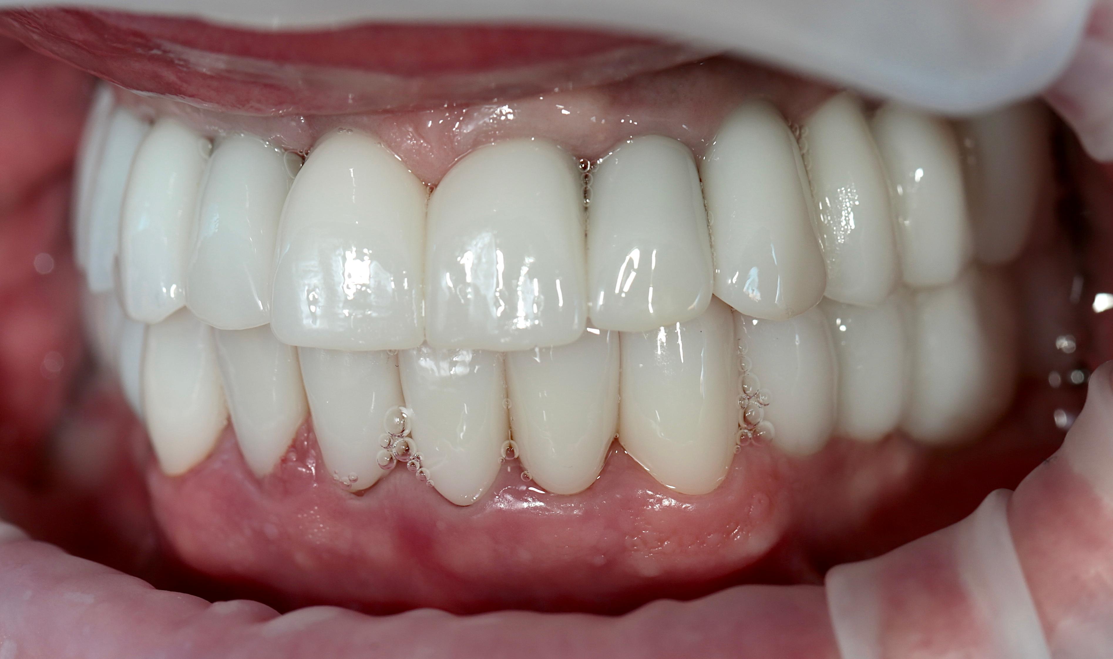
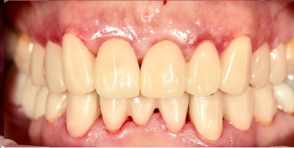
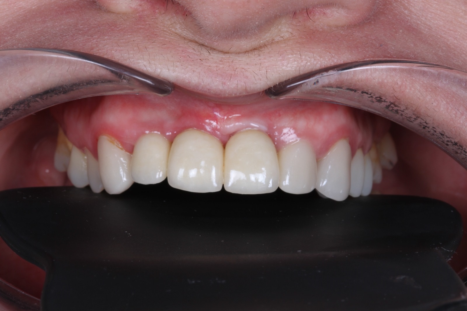
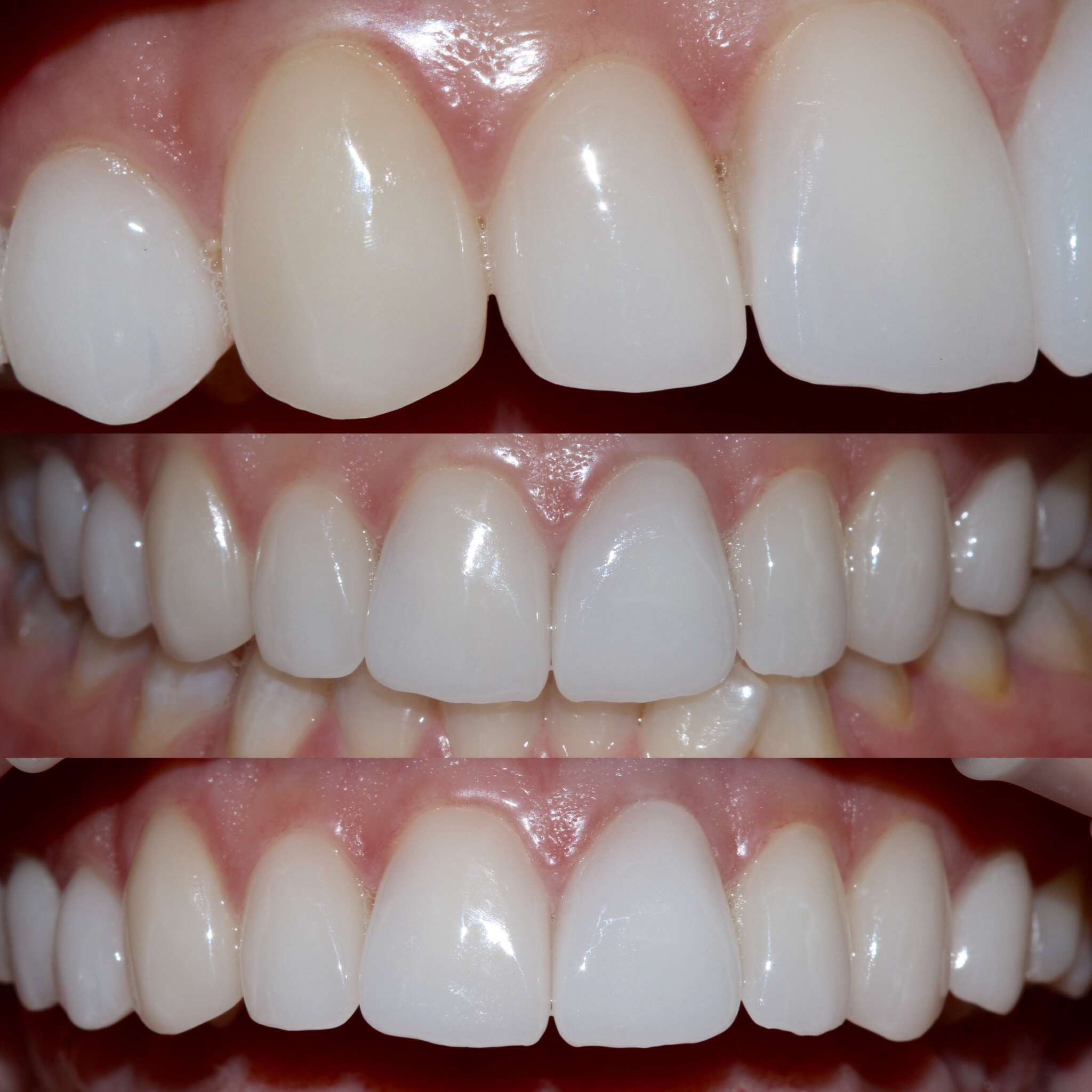
Циркониевые коронки на имплантах
На временных коронка проверена высота прикуса и окклюзия.
Установлены коронки из оксида циркония с опорой на импланты и керамические виниры на нижних фронтальных зубах.




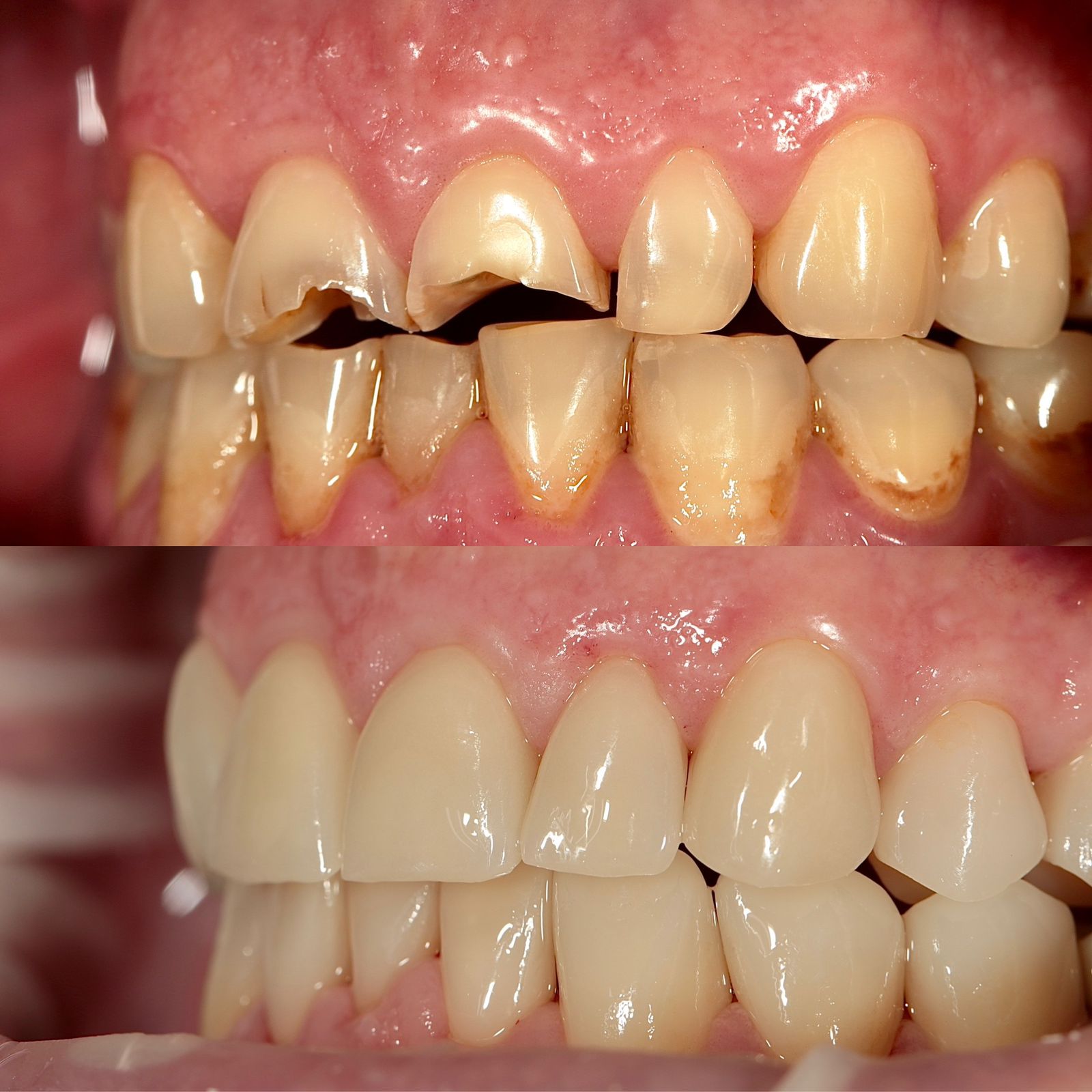
Циркониевые коронки во фронтальном отделе


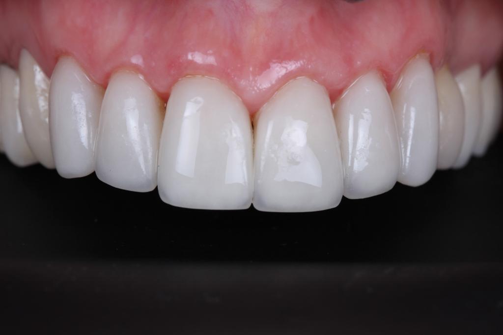
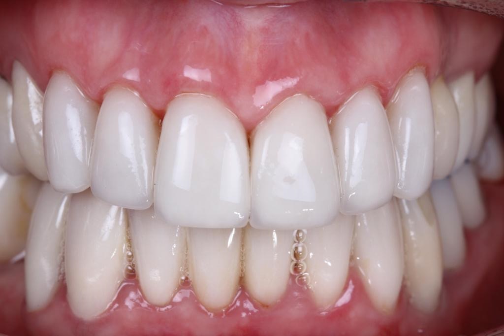
Керамические виниры и коронки из оксида циркония
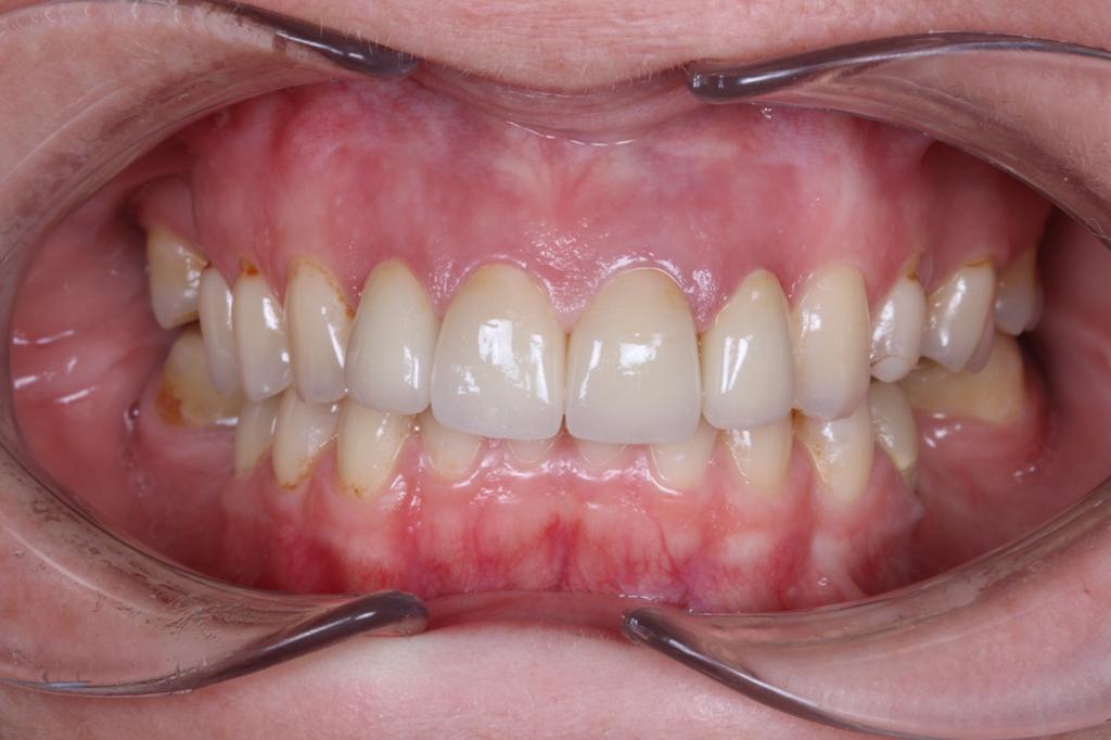
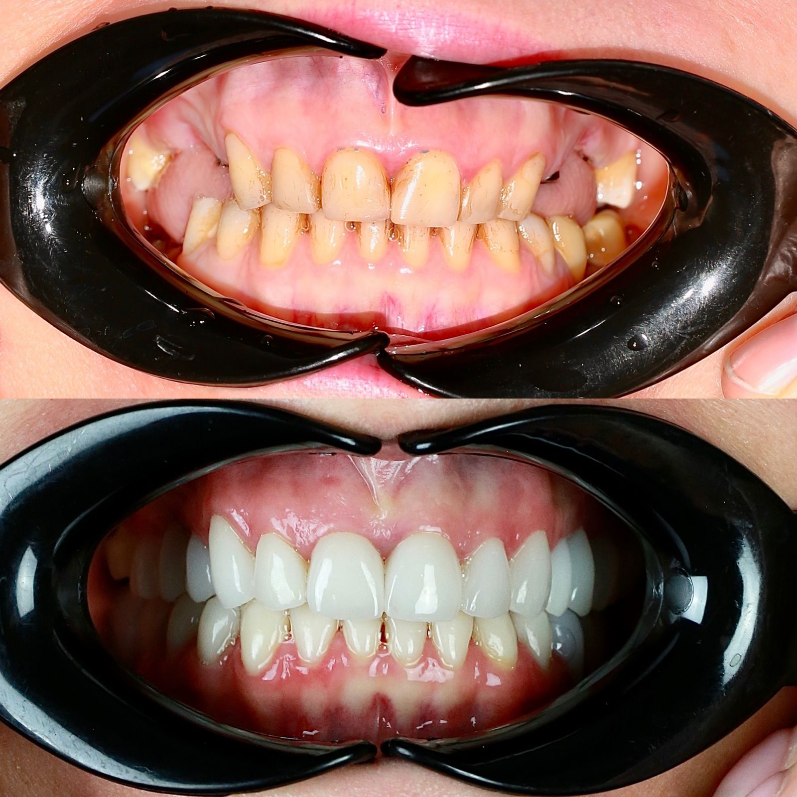
Патологическая стираемость, снижение прикуса . Как помочь?
- Остановить разрушительный процесс.
- Вернуть изначальный уровень высоты коронок.
- Заменить старые протезы, при необходимости.
- Адаптация к новому положению челюсти и ее работе.




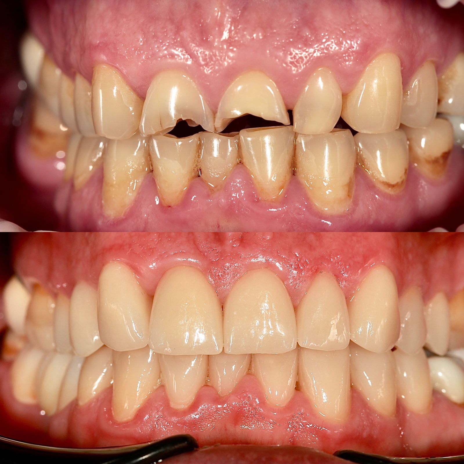
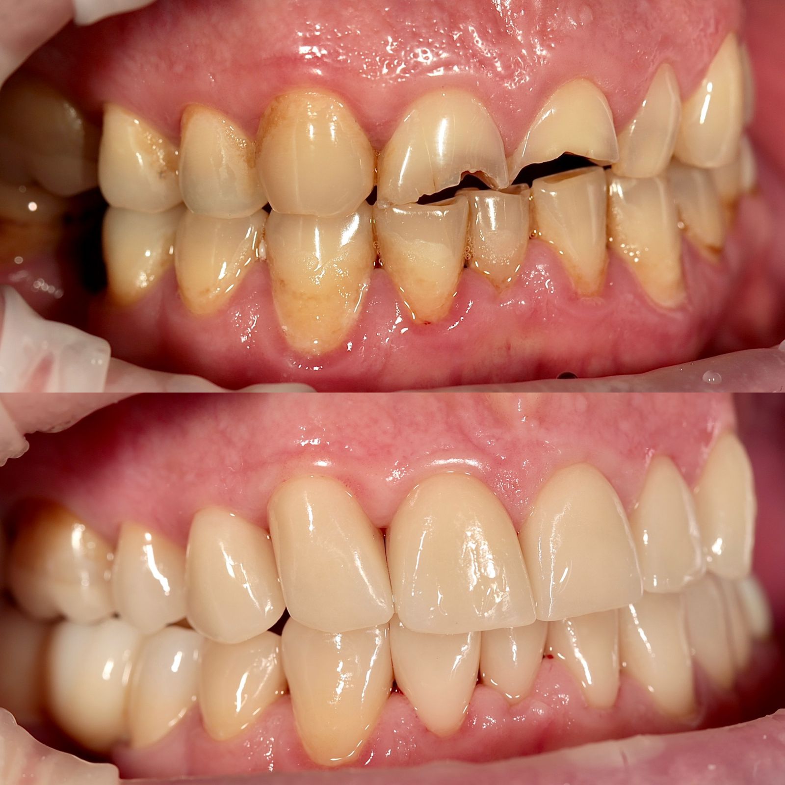
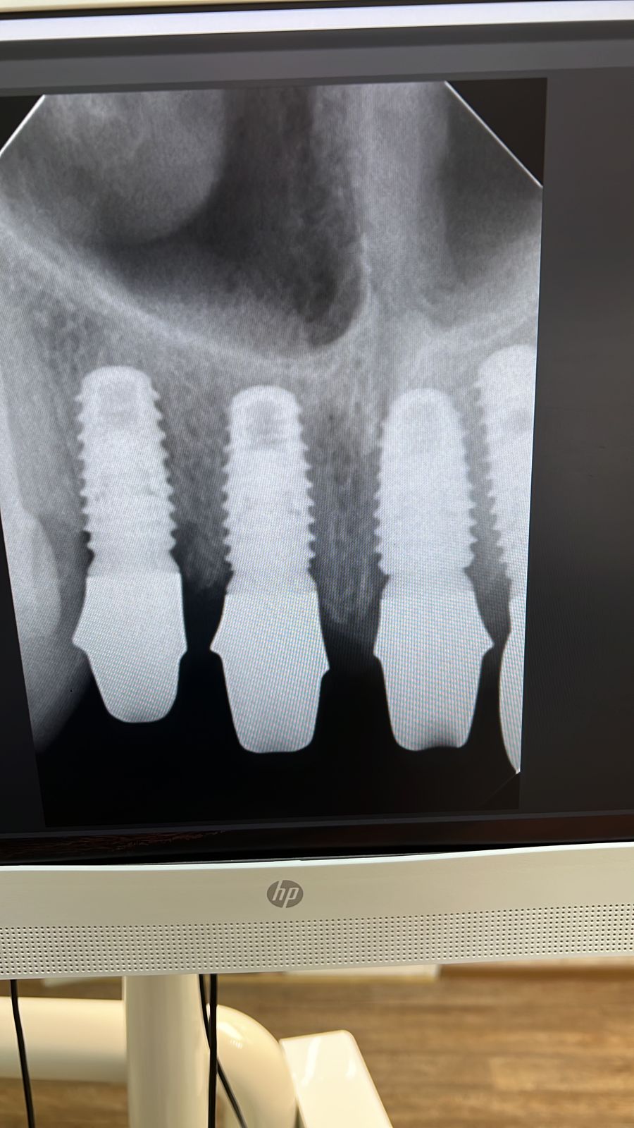
Имплантация зубов
Установлено 4 имплантанта Osstem во фронтальном участке верхней челюсти.

Протезирование выполнено коронками из оксида циркония с фиксацией на абатменты из оксида циркония.


Элайнеры ( ортодонтическое лечение)
Элайнеры , одно из самых передовых, точных и востребованных решений для лечения неправильного прикуса, используются для выпрямления или корректировки зубов без металлических брекетов, колец и дуг. Элайнеры имеют эстетические и медицинские преимущества по сравнению с обычными металлическими брекетами. Они обеспечивают лучшие результаты, чем традиционные брекеты, по той же цене, часто с меньшим количеством посещений стоматолога и меньшим временем лечения.
Ниже есть выгрузка видео с этапами перемещения зубов. Этот пациент начал лечение в феврале 2023 года. Этапы лечения будем выкладывать.

Виниры полевошпат
Пациентка обратилась в клинику на профилактический осмотр , было выявлено, что под ранее установленными винирами есть кариозные поражения. Наш доктор Кациев М.М. принял решение заменить виниры с 13 по 23 зубы.
Предварительно, перед установкой новых виниров , было проведено лечение по кариесу. Пациентка осталась довольна.



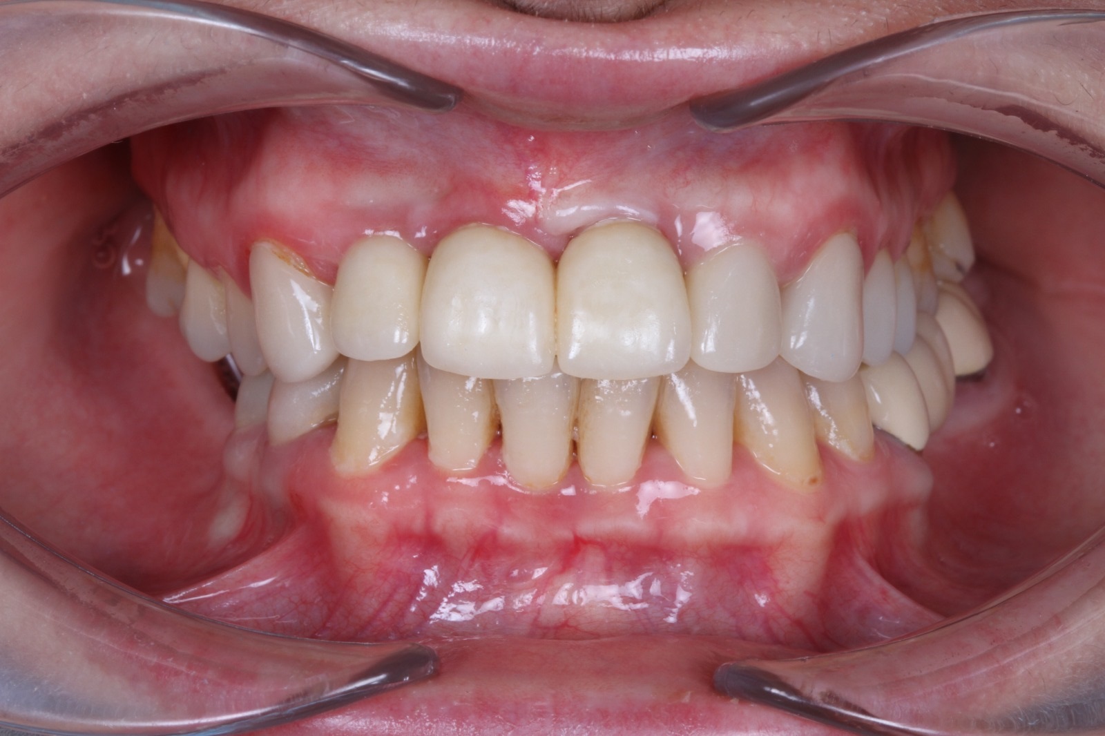
Имплантация зубов, виниры и коронки из циркония






