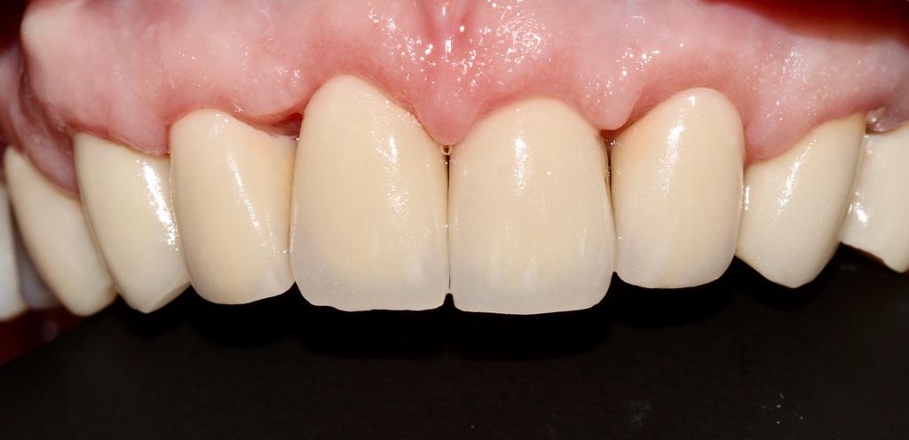
Коронки из оксида циркония
В программе EXOCAD смоделирована работа на верхней челюсти. Фронтальные зубы редуцированы. И нанесена керамическая масса вручную.





Элайнеры
Система элайнеров перемещает зубы на место, используя серию
практически невидимых, съемных выравнивателей (кап), которые пациент постоянно
носит, снимает на время еды, питья и чистки зубов.

Перед началом лечения у каждого пациента проводится полная диагностика , рентген и фотографирование. Затем мы направляем все ваши данные в ортодонтическую лабораторию, где проводится на специальной программе планирование лечения. Перед лечением мы согласовываем план лечения с вами и показываем все этапы исправления положения зубов.
Это выглядит вот так:

Если вы захотите начать лечение, мы закажем в лаборатории очень точные пластиковые капы, соответствующие каждому этапу перемещения зубов.
Лечение длится примерно один год.
Цены на лечение:
лечение не более 5 элайнеров 50000 рублей
не более 10 элайнеров 75000 рублей
не более 20элайнеров 130000 рублей
не более 30 элайнеров 150000 рублей
Записаться на прием вы можете по телефону
8-498-720-00-33 (44)Виниры как у звезд

ЧТО ТАКОЕ ПРОЦЕСС УСТАНОВКИ ВИНИРОВ?
Виниры обычно требуют два посещения, чтобы закончить . При первом посещении наш стоматолог может придать форму передним поверхностям зубов, на которые будут установлены виниры. Оттиск или слепок из сформированных зубов и противоположных зубов будет взят и отправлен в лабораторию. Стоматолог может разместить временные виниры в зависимости от того, сколько зубов было сформировано. На следующем приеме стоматолог примерит готовые виниры и проверит посадку, цвет, форму и прикус. Лучше всего смотреть на виниры, когда они на месте, но не цементированы, чтобы утвердить форму и цвет. Затем стоматолог приклеит виниры на прочный цемент, который будет удерживать их на зубах.

Виниры на рефракторе
Фарфоровые виниры - это популярный и доступный вариант макияжа для вашей улыбки. Мы можем подправить вашу улыбку, исправить недостатки и улучшить некоторые функции, в том числе:
Сломанные и сколотые зубы
Промежутки между зубами
Кривые или смещенные зубы
Обесцвеченные и изношенные зубы



Горе от ума и мудрости.
Удаление 8-х зубов мудрости.
Вот такие коварные восьмые, а иногда и девятые маляры залегают в толщи кости.


Показания к удалению зубов мудрости:
1. Аномальное анатомическое положение в ряду -в некоторых случаях
третьи моляры могут расти под наклоном в сторону горла, щеки или языка,
это вызывает травмы слизистой оболочки рта, которые в свою очередь
приводят к язвам ;
2. Возникновение кариеса и периодонтита. Восьмерки очень сложно чистить
из-за дальнего расположения, вследствие чего появляется кариес, а
зачастую они уже имеют поврежденную эмаль при прорезывании. Кариес
быстро перемещается на соседние зубы и поэтому затягивать с визитом к
нам для оказания медицинской помощи ни в коем случае нельзя.
3. Недостаточное место на челюсти для того чтобы восьмёрки заняли
правильное положение (в этом случае удаление зуба необходимо для того
чтобы снизить нагрузку на соседние зубы, обеспечивая им правильное,
устойчивое положение, а также предотвратить развитие неправильного
прикуса)
4. Анкилоз (срастание с костью);
5. Образование кисты с повреждением костной ткани.
Как происходит процесс удаления зуба мудрости? В первую очередь перед процедурой наш дантист сделает рентген, чтобы определить местоположение и особенности строения зуба. Сама операция проходит под местной анестезией, и мы Вас уверяем что Вы даже не почувствуете укола. При прорезовшемся зубе после действия обезболивающего врач при помощи специальных инструментов извлечет зуб и наложит швы. Длится такая операция несколько минут , но стоит заметить, что верхние восьмерки как правило удаляются быстрее, потому что у нижних зубов корни имеют менее крепкую и извилистую структуру.
У пациентов, помимо прорезыванных зубов мудрости, встречаются и так называемые ретинированные, это те которые полностью скрыты под десной, а также дистопированные - с неправильным расположением в зубном ряду. Чаще всего встречаются ретенированные и дистопированные зубы одновременно. Следует также выделить полуретинированные восьмерки - это зубы , которые появились из десны не до конца. Зачастую в том варианте, когда видна только часть зуба, между ним и десной образуется небольшой карман- капюшон, и это образование вызывает гнойное воспаление - перикоронит. В запущенных случаях, помимо болевых ощущений в самой зоне зуба перикоронит может вызывать сильнейшие головные боли и повышение температуры.
При удалении ретинированного зуба используется сильнодействующая анестезия, так как в процессе операции может быть задета костная ткань. В иных случаях может понадобиться общий наркоз.
Очень важно что после подобных операционных вмешательств характерны побочные эффекты такие как:
* нарастание болевых ощущений после ослабления анестезии;
* кровотечение из лунки;
* небольшое повышение температуры тела;
* потеря чувствительности отдельных участков языка щеки или губ.
Обязательно следуйте рекомендации врача стоматолога хирурга.
1) заранее проконсультироваться со специалистами по поводу обезболивающих ;
2) желательно не кушать в течение нескольких часов после операции, дабы избежать воспаления;
3) в процессе заживления пациенту запрещено пользоваться ополаскивающими средствами, а рекомендуется использовать специальные растворы, предписанные врачами;
4) ни в коем случае не использовать так горячо любимые нашими людьми "народные средства";
5) следует отказаться от занятий спортом, физических тяжёлых нагрузок, посещения солярия, а также приема алкогольных напитков и сильно горячих, либо холодных блюд в течение первых 7-10 дней.
Стоматология в старых Химках: тел.: 8-495-984-66-84, Химки Ленинский проспект д1 корп 3 ( вход со двора)
Стоматология в Новокуркино: тел.: 8-498-72-000-33, 4-498-72-000-44 Химки Молодежный проезд д 6
Стоматология в новых Химках: тел.: 8-495-580-03-88, 8-495-308-93-03 Химки Строителей 7а
Стоматология в Химках : Юбилейный проспект д 1 корп 3 8-495-510-13-64
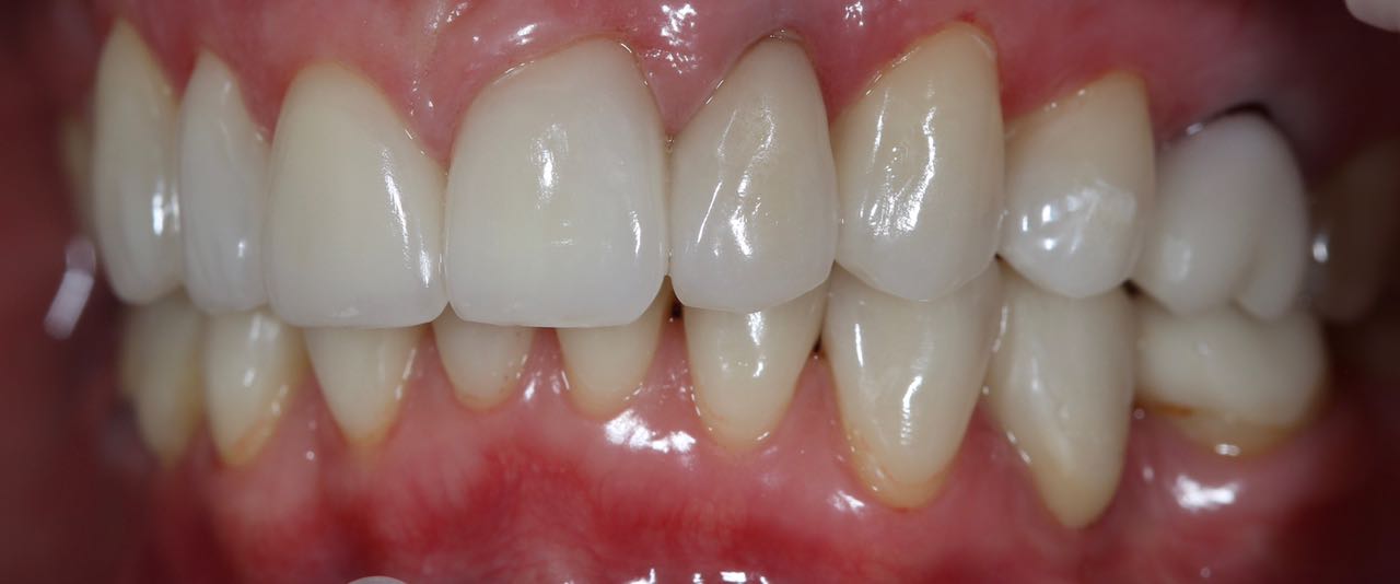
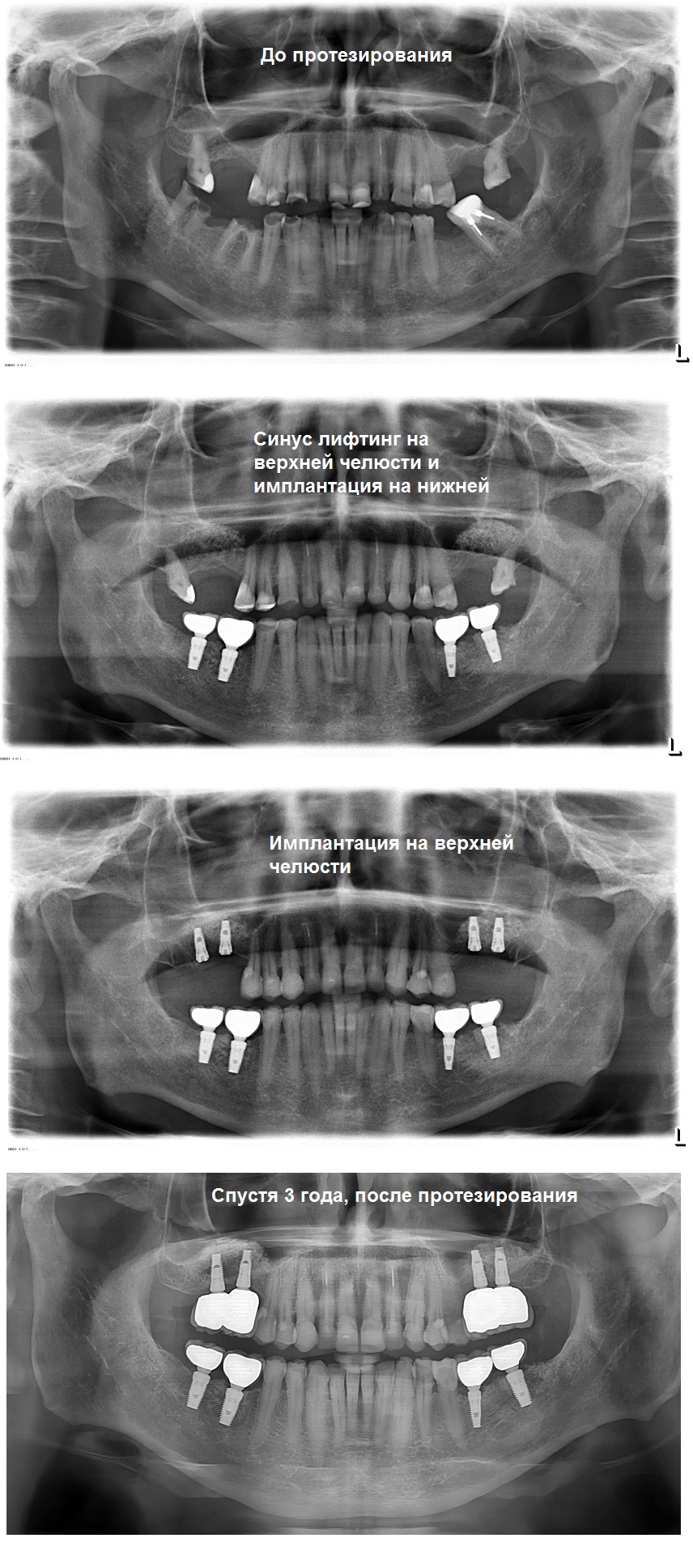
Протезирование на имплантантах
В
задней области верхней челюсти, замена зуба с
помощью зубных имплантатов, зачастую, требует хирургической операции по пазухе.
Эта операция представляет собой форму предварительной протезной
хирургии для повышения качества и количества кости в задней области
верхней челюсти. Предварительная оценка верхней челюсти необходима для успеха этой операции.
Если количество костей, между гребнем и полостью, является недостаточным, (<5 мм), то необходима процедура открытого синусового подъема ( синус лифтинг).
В представленном случае была сделана , как раз такая операция на верхней челюсти перед установкой имплантов.
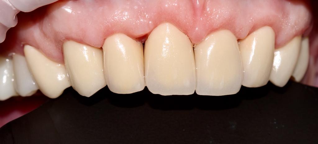
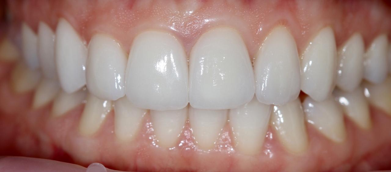
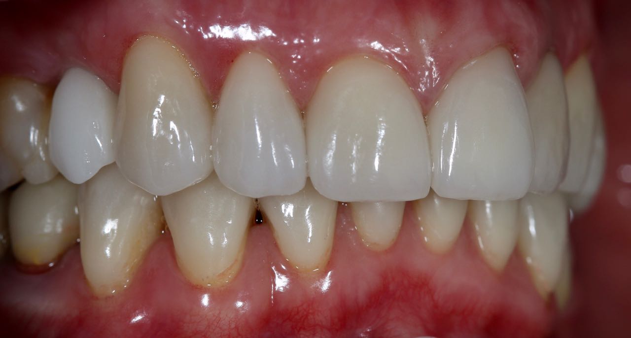
Белые виниры BLEACH
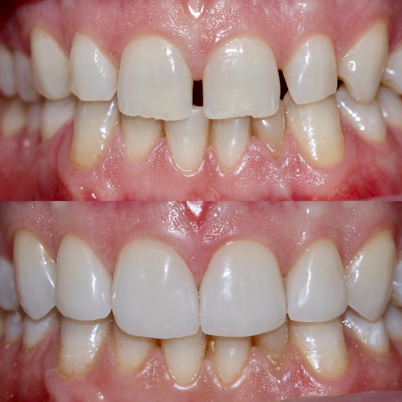
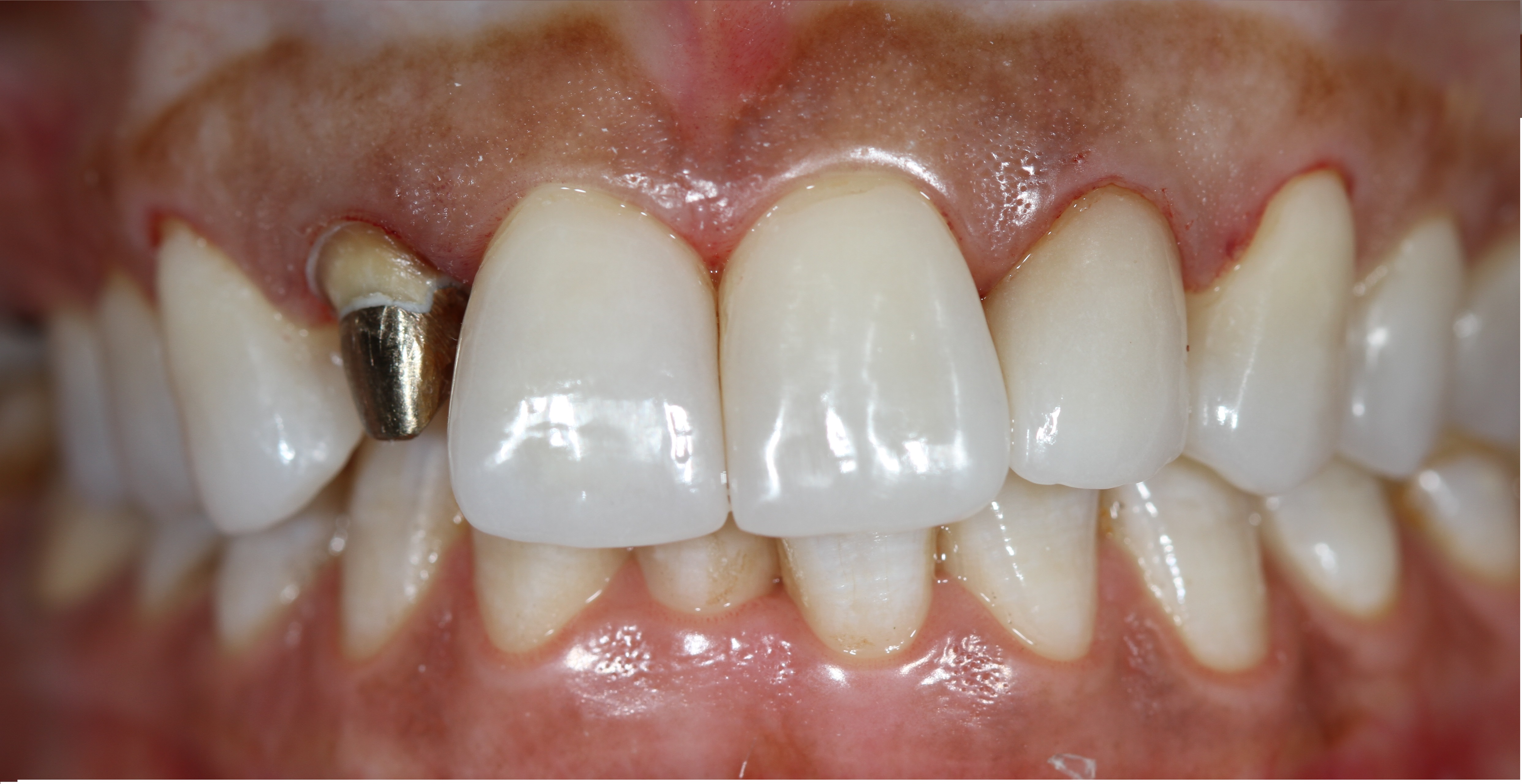
Все чаще стали поступать заказы на виниры цвета BLEACH. Очень красивый результат. Улыбка становится очень красивой.
Это виниры на рефракторе . 12 зуб коронка на оксиде циркония.




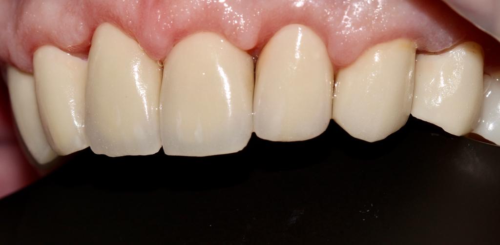
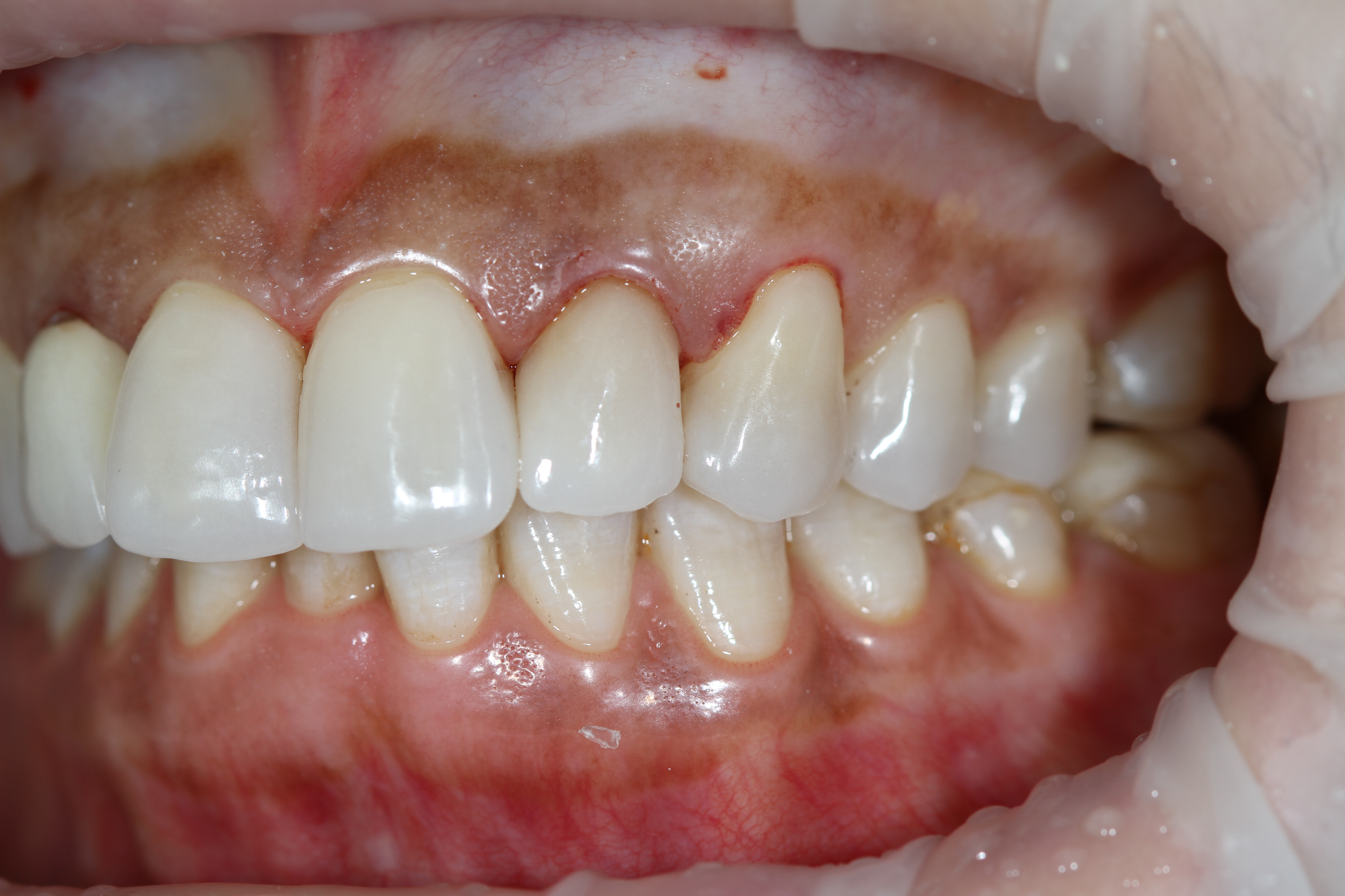
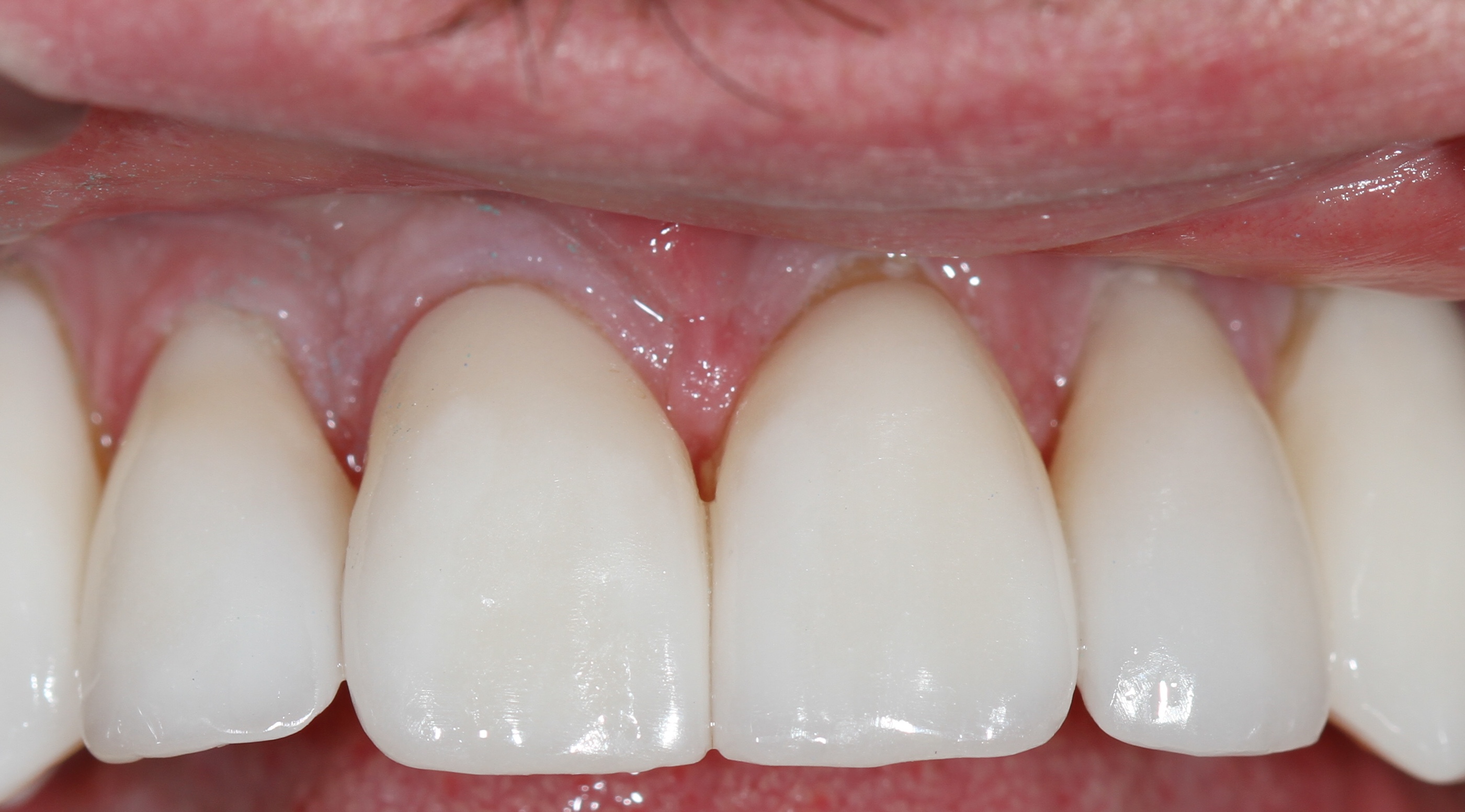
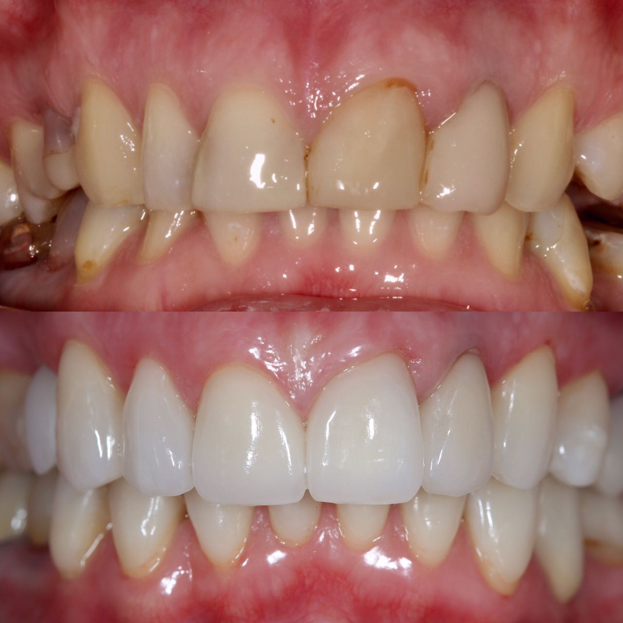
Снова виниры
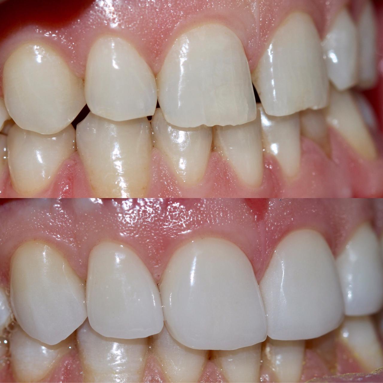
Замена старых виниров темного цвета на более светлые по причине оголения шейки зуба.

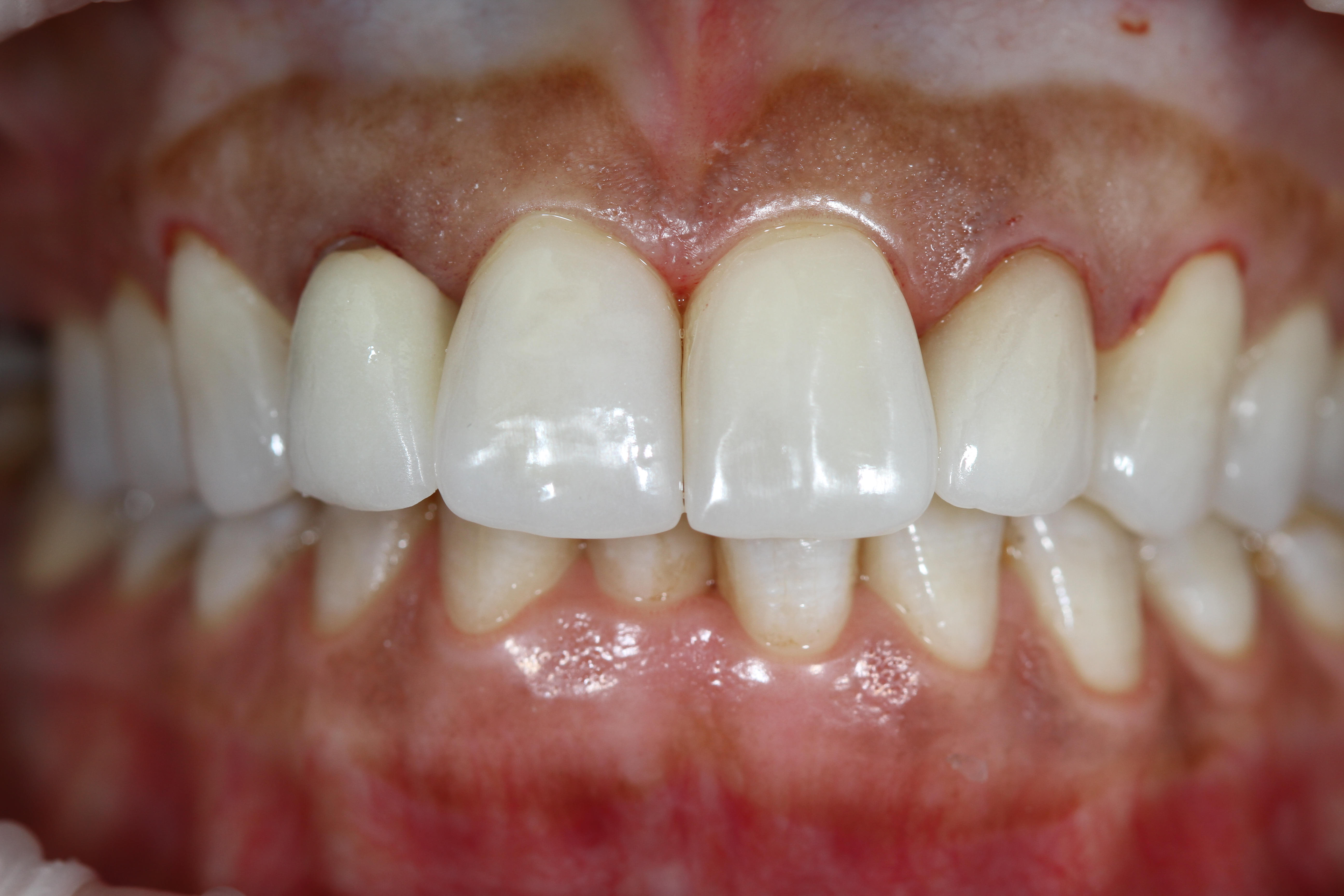
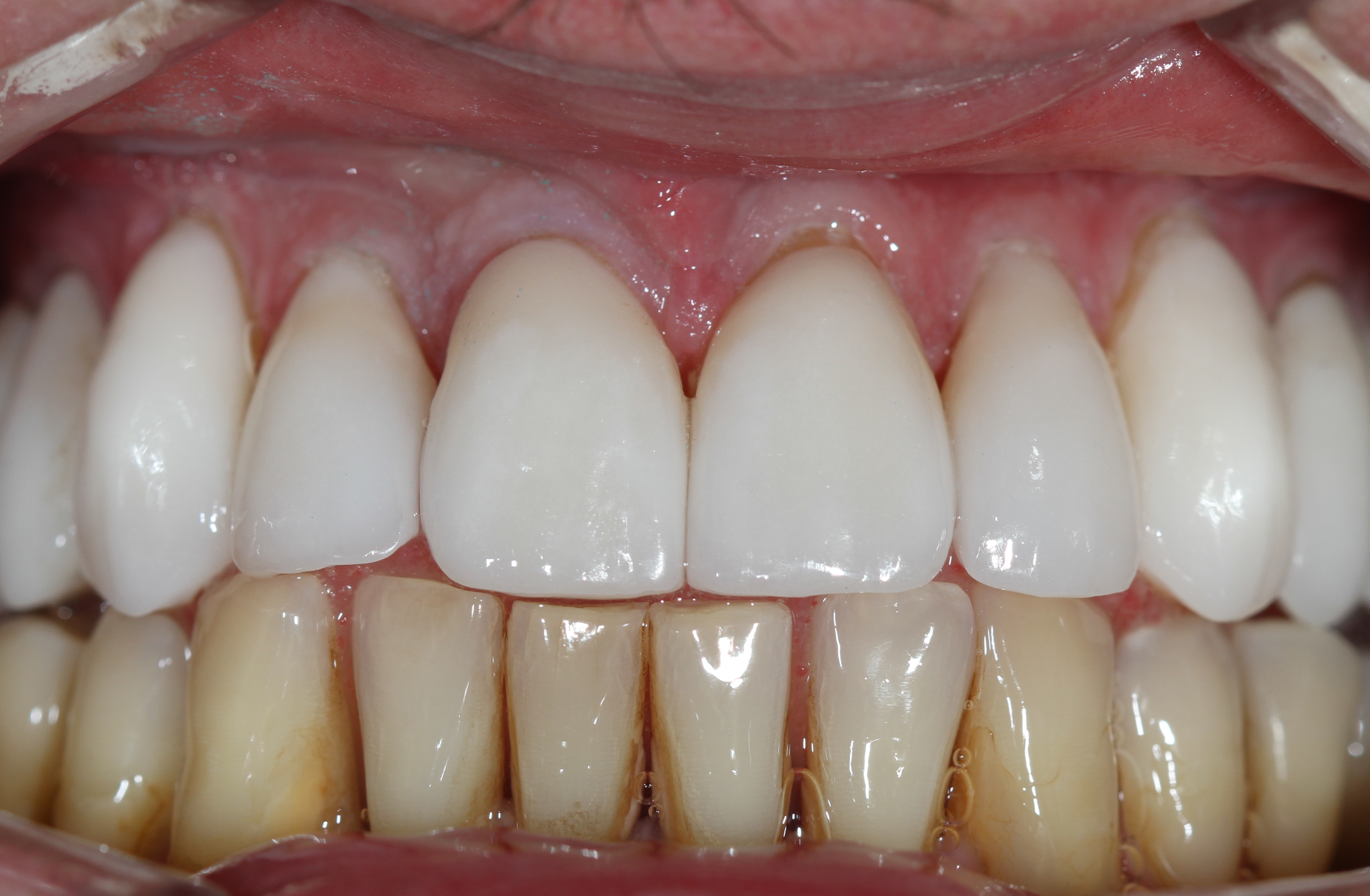
Виниры цвета BLEACH
Установлены керамические виниры на верхнюю челюсть по эстетическим требованиям.


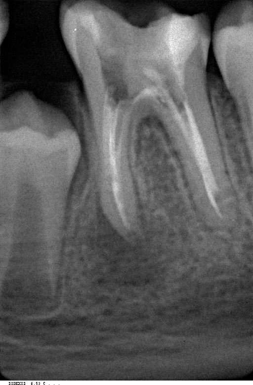
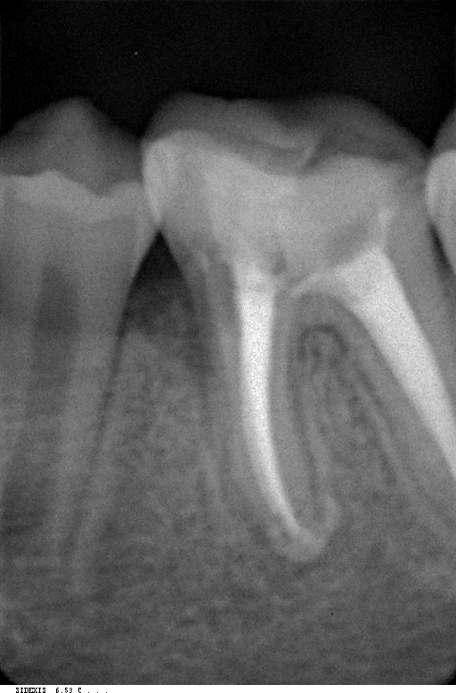
Эндодонтия
Эндодонтическое лечение зубов под микроскопом




Стоматология г. Химки, Юбилейный пр-т.1 корп 3
Часы работы: с 10 до 21 без обеда и выходных. Тел. 8-495-510-13-64
Стоматология г. Химки, ул. Строителей 7-а
Часы работы: с 10 до 21 без обеда и выходных. Тел. 8-495-580-03-88
Стоматология г. Химки, Молодежный проезд 6
Часы работы: с 10 до 21 без обеда и выходных. Тел. 8-498-72-000-33(44)



