CAD CAM, цифровая стоматология

Это наш помошник. На нем фрезеруются каркасы для коронок и мостов. Материалы применяются разные : металл, керамика, оксид циркония, пластмасса. За 10 минут вытачивается готовая реставрация из керамики , за 15 минут готов каркас для мостовидного протеза.
Виниры на рефракторе
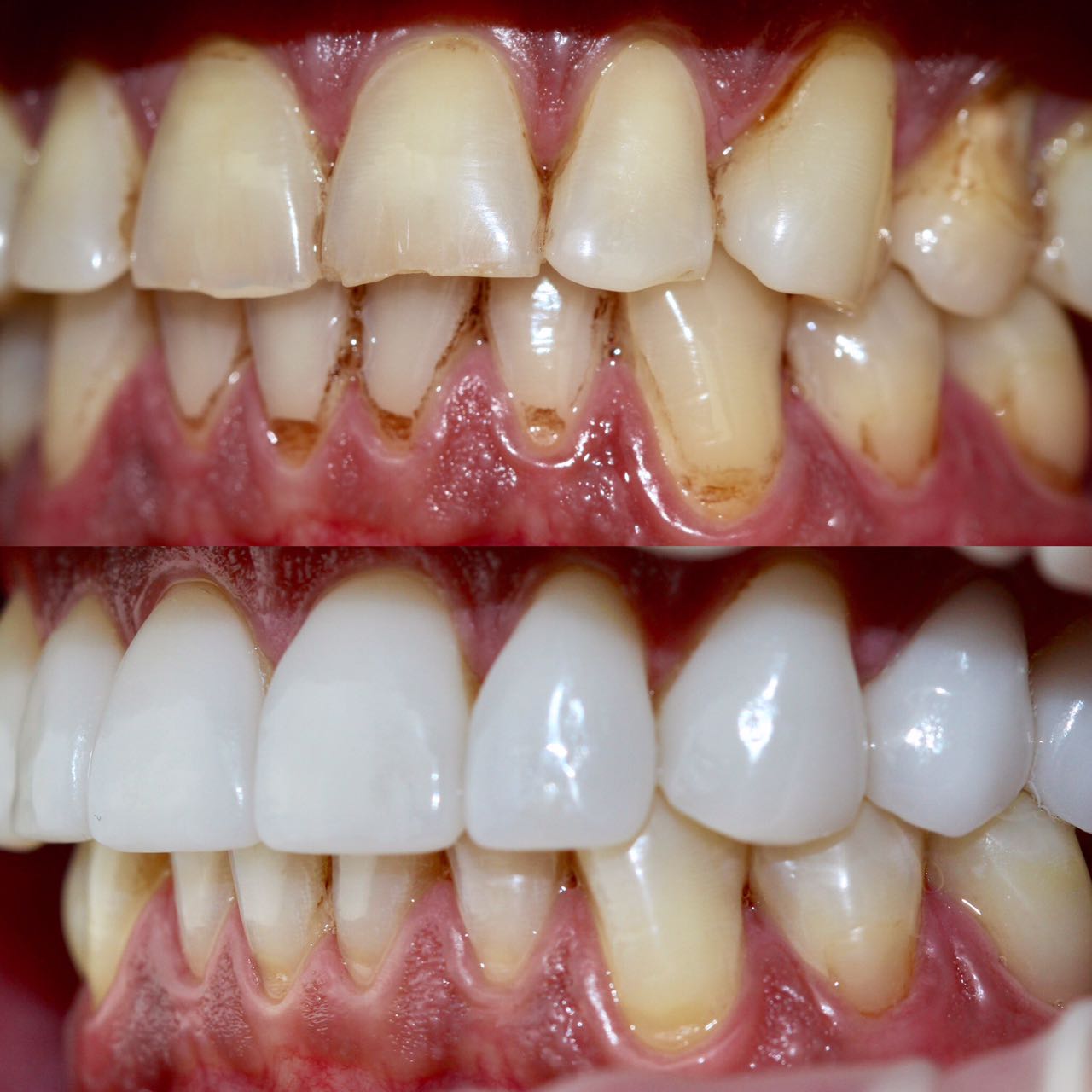
Керамическими винирами восстановлена форма и цвет зубов. Зубы не депульпировались, остались живыми.
Виниры на рефракторе - это самый трудоемкий вид эстетических работ и один из самых дорогих. Этот вид работ по плечу только самым виртуозным зубным техникам. Микроскопическая точность конструкций сочетается с великолепным изяществом форм, восполняя природную красоту живых зубов.



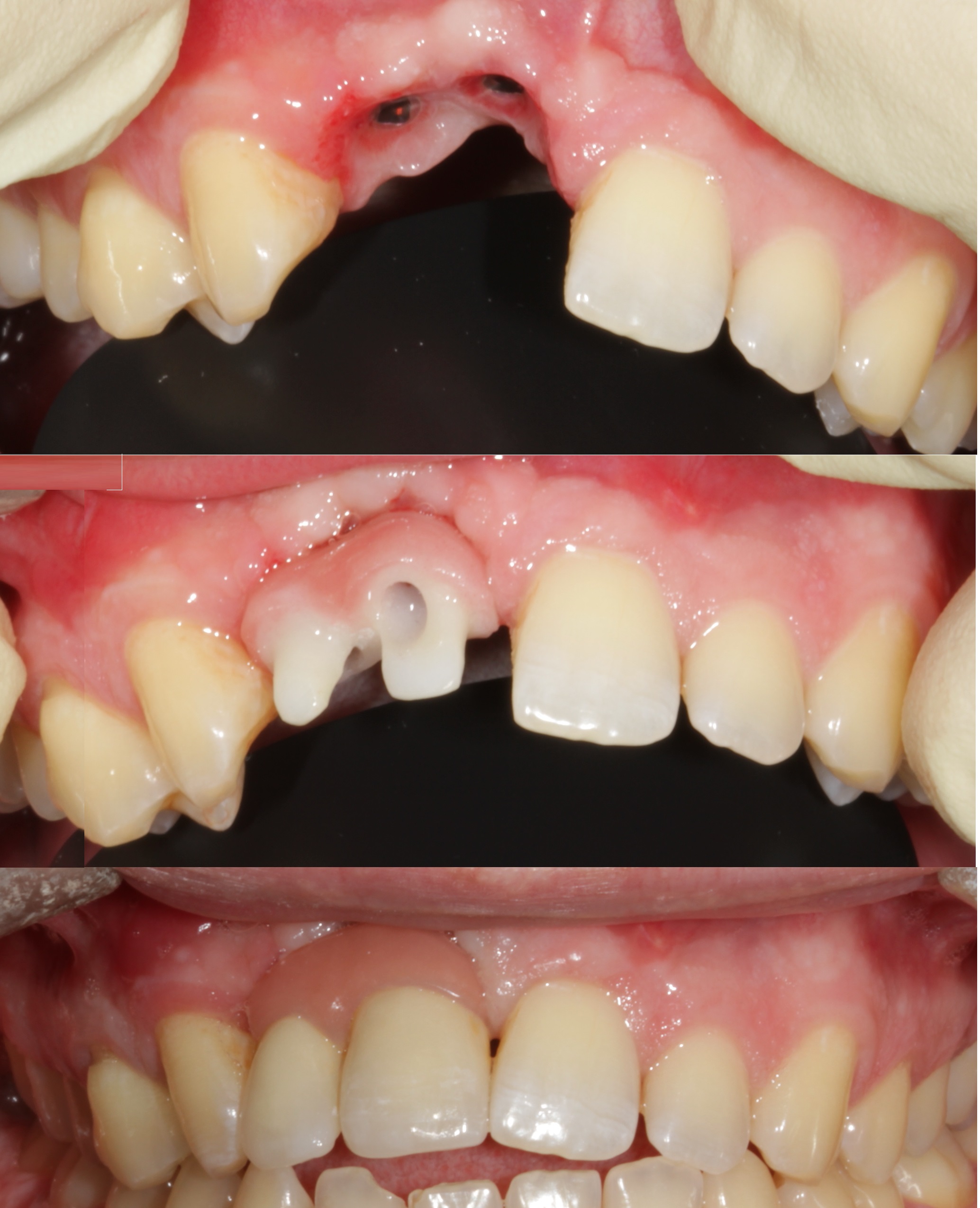
Коронки из оксида циркония
Эту работу мы выполнили более 10 лет назад. Регулярные профилактические осмотры, профессиональный уход за коронками наших специалистов, способствует долговременной службе наших изделий.

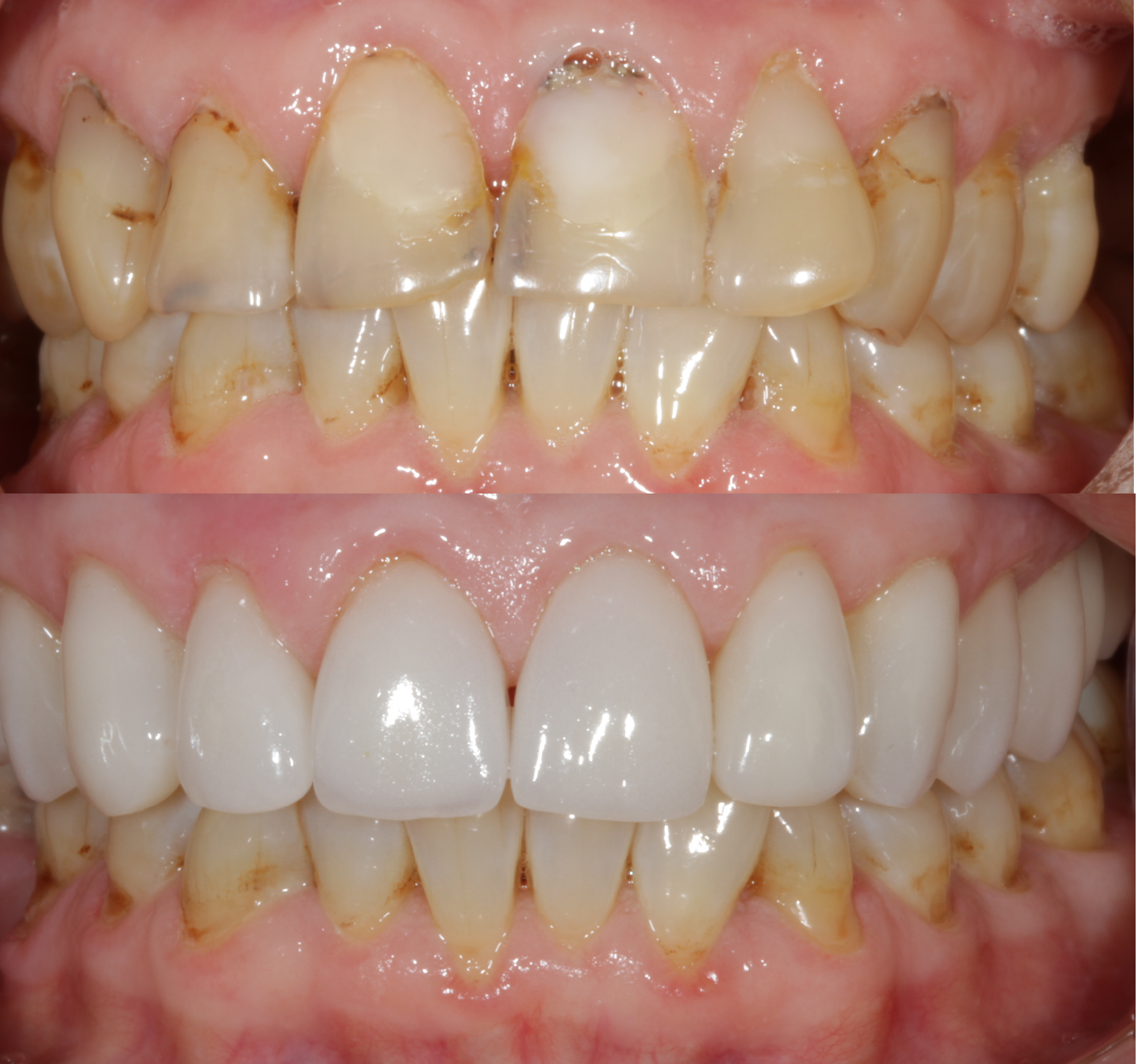
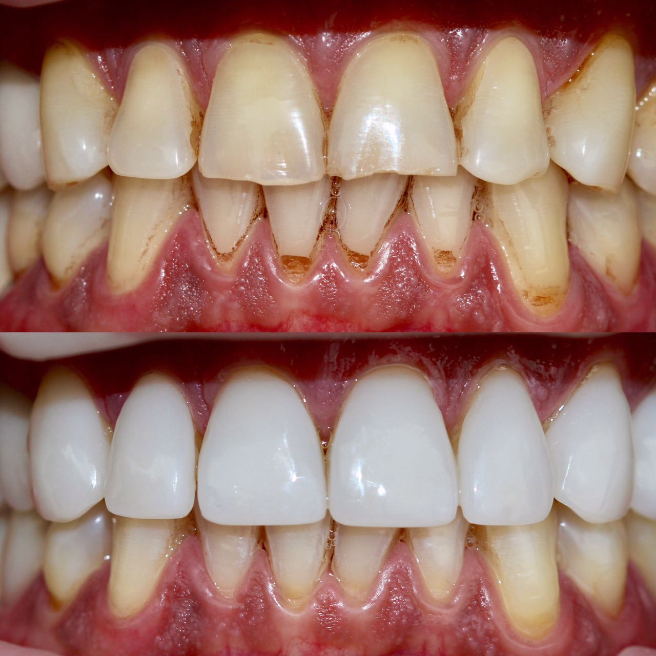
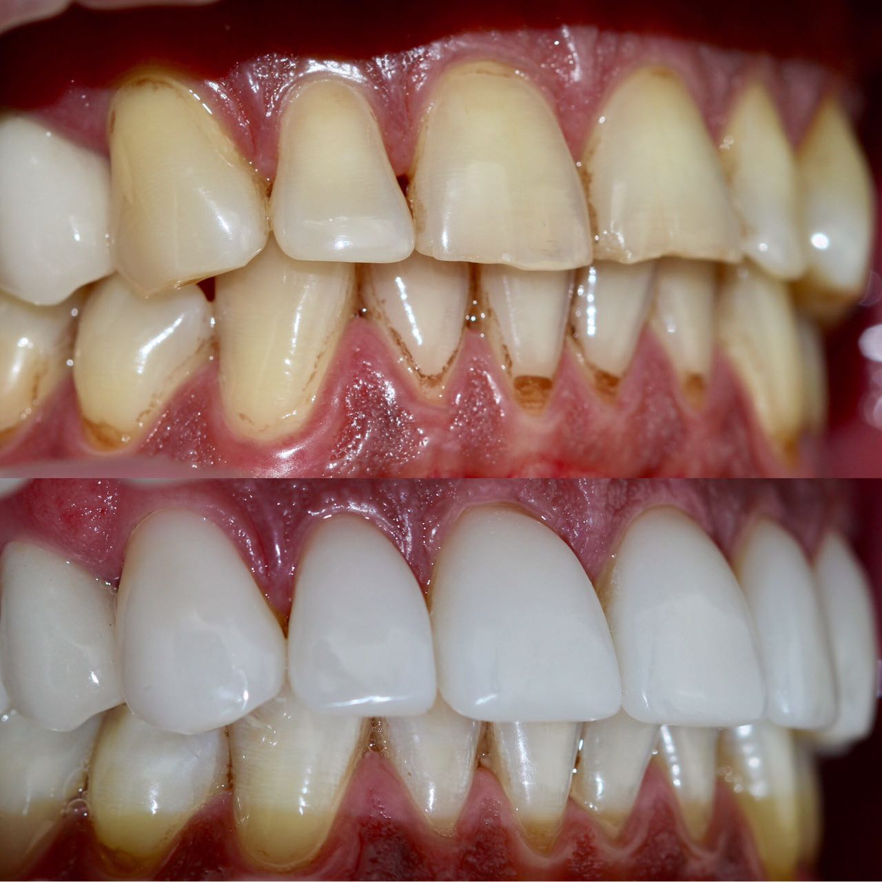
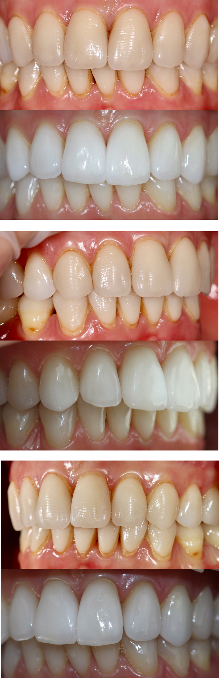
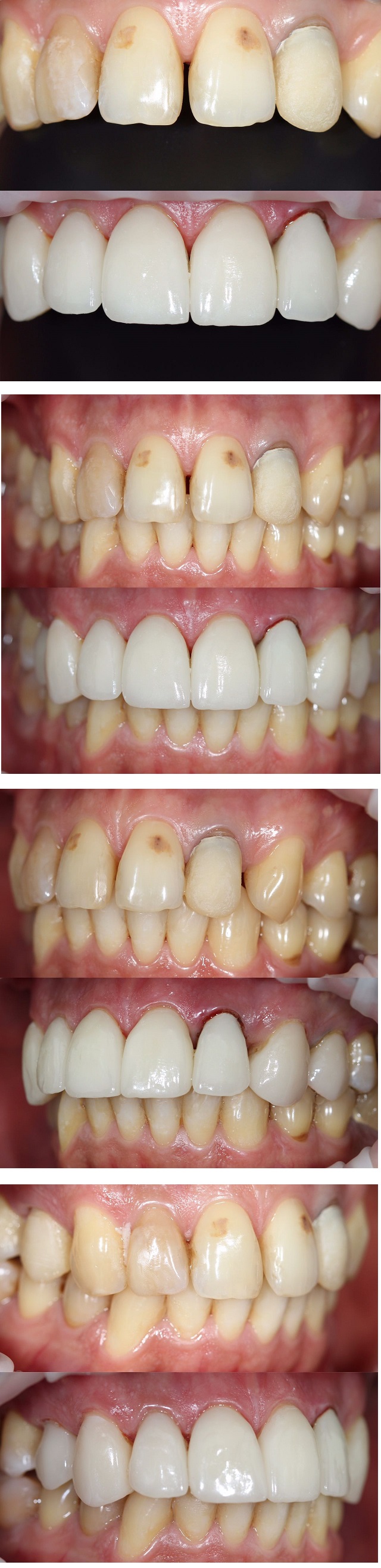
Виниры BLEACH



история виниров
Хотя виниры стали особенно популярными в последние несколько десятилетий, они возникли почти сто лет назад в первые дни киноиндустрии. В конце 1920-х годов д-р Чарльз Пинкус, знаменитый стоматолог из Голливуда, задумал виниры как способ улучшить улыбки актеров и актрис на экране. Он временно применял временные наклейки к зубам звезд, предоставляя им потрясающие улыбки, которые быстро стали товарным знаком голливудской красоты. Однако ему не хватало технологии для постоянного прикрепления фарфора. В конце 1960-х годов д-р Майкл Бунокор открыл современную эпоху адгезивной стоматологии; легким травлением зубов мягким кислым раствором, он создал более прочную склеивающую поверхность для зубных цементов и реставраций. В 1982 году Дж. Р. Каламия и Р. Дж. Симонсен обратились к доктору Бунокору, с применением фарфоровых виниров. Внезапно все получили доступ к потрясающим голливудским улыбкам прошлых дней.
Сегодня виниры
За последние 30 лет разработка зубных технологий сделала виниры более реалистичными и удобными, чем когда-либо прежде. Новые типы керамики сильнее и отражают свет аналогично природной зубной эмали. Цифровые системы визуализации позволяют многим стоматологам создавать реставрации того же дня, которые являются почти идеальным сочетанием с естественной формой и цветом зубов пациентов. Кроме того, другие современные стоматологические процедуры, такие как отбеливание зубов и зубные коронки,могут сочетаться с винирами, чтобы предоставить пациентам комплексные косметические результаты и поистине потрясающие улыбки.
Получить голивудские виниры вы можете, записавшись на прием в наши клиники:
Стоматология г. Химки, Юбилейный пр-т.1 корп 3
Часы работы: с 10 до 21 без обеда и выходных. Тел. 8-495-510-13-64
Стоматология г. Химки, ул. Строителей 7-а
Часы работы: с 10 до 21 без обеда и выходных. Тел. 8-495-580-03-88
Стоматология г. Химки, Молодежный проезд 6
Часы работы: с 10 до 21 без обеда и выходных. Тел. 8-498-72-000-33(44)















