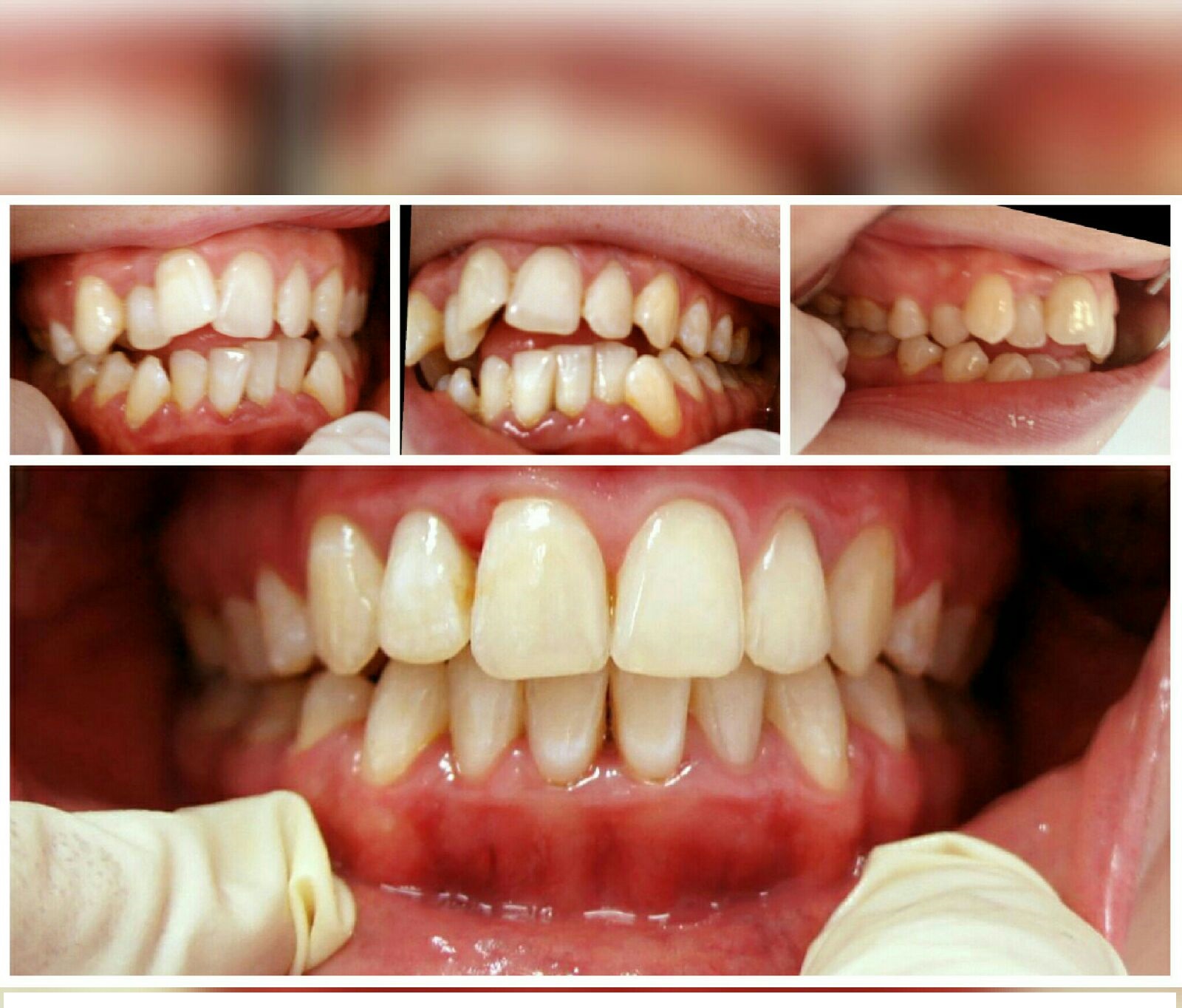
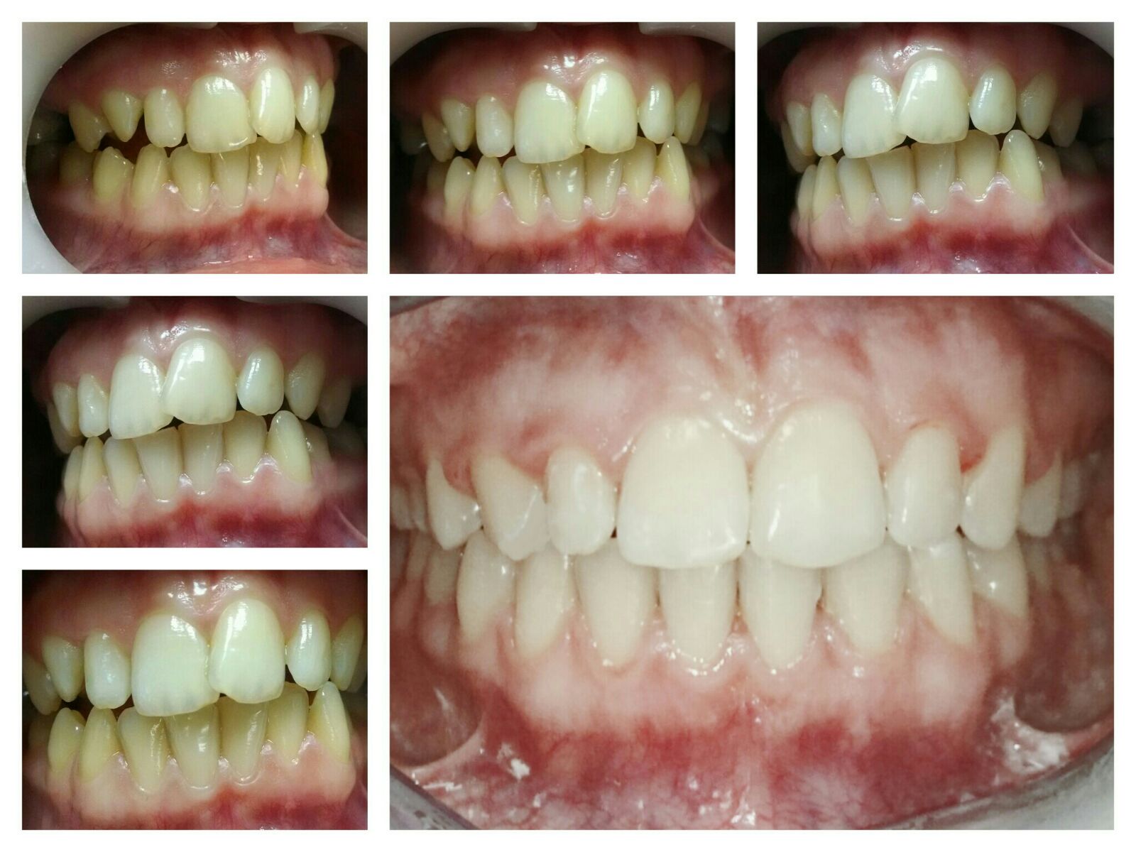
Брекеты


По своей конструкции аппараты для ортодонтической корректировки можно разделить на две категории: съёмные ортодонтические аппараты и несъёмные. Рассмотрим особенности каждой из них.
- Съёмные ортодонтические аппараты представляют собой специальные пластинки и применяются в детской ортодонтии. Наша семейная стоматология, благодаря штату высококвалифицированных специалистов и современного оборудования, проводит ортодонтическое лечение детей даже самого маленького возраста.
- Несъёмные ортодонтические аппараты, которые иначе называют брекет-системы, нашли широкое применение для лечения пациентов любого возраста, как детей, так и взрослых.
Вестибулярные брекет-системы.
Закрепление таких конструкций осуществляется на передней (видимой) поверхности зуба при помощи специального клеящего состава. Каждому зубу предназначен специально подобранный по размеру брекет, оснащённый опорным колечком с замочками. Именно через эти замочки врач будет протягивать силовую дугу, которая после установки примет заданную форму и будет осуществлять непосредственное воздействие на положение зубов.

Лингвальные брекет-системы.
Установка данного вида ортодонтических конструкций производится на внутренней (невидимой) поверхности зуба. Их установка может быть достаточно затруднённой, что связано с большой вариабельностью внутреннего рельефа зубного ряда. Именно поэтому процедура установки лингвального брекета подразделяется на несколько этапов: создание слепка зубного ряда, монтаж на нём лингвальной системы и наконец, фиксирование её в ротовой полости пациента.
Современная
ортодонтия предлагает широкий ассортимент брекетов, выполненных из различных
материалов и в разнообразном дизайне. Наиболее широко распространены металлические
брекеты, хотя зачастую они имеют не очень высокую эстетичность. Более
совершенными в плане дизайна являются брекеты выполненные из пластика, керамики
или кристаллов сапфира. Прекрасным
вариантом является покрытие силовой дуги специальным составом, делающим её
более незаметной, а потому эстетичной.
После
установки пациенту брекет-системы, в течение первых 6-7 дней он испытывает
слабые тянущие и болезненные ощущения. Чтобы снизить дискомфорт в этот период,
врачи, работающие в семейной стоматология Дубровины, советуют принимать лекарственные
препараты с обезболивающим действием. По
прошествии первой недели ношения брекет-системы, пациент привыкает к её
присутствию и уже не испытывает никакого дискомфорта по этому поводу. Срок
ношения брекет системы напрямую зависит от
исходного состояния зубного ряда и результата, который будет получен от
её применения.
В среднем он составляет
от полугода до 2-х лет. При этом, пациенту следует посещать своего врача –
ортодонта не реже чем 1-2 раза в месяц.
Гигиена брекет-системы очень важна на протяжении всего срока её использования. Очищать её следует 2 раза в сутки, используя специально предназначенные для этого зубные щётки, имеющие V-образный вырез и зубную нить.


Следует отметить, что при ношении брекет-системы не следует употреблять жевательные резинки и есть вязкие по консистенции конфеты, а также орехи. Это может привести к выходу из строя данной системы. Если строго следовать рекомендациям своего врача-ортодонта, то весь период ношения брекетов не вызовет у пациента никакого дискомфорта или боли.
....Пожалуй, лучшие цены на брекеты в Химках, Старбеево, Лобне, Куркино и Новокуркино




