Микроскоп в стоматологии
Микроскоп в стоматологии
Эндодонтическое лечение с помощью микроскопа в настоящее время представляет собой наиболее сложную формулу работы в Эндодонтии . Наша клиника предлагает возможность воспользоваться такими процедурами, предоставив в ваше распоряжение высокопроизводительное оборудование и специализированных врачей, обученных этим лучшим стоматологическим методикам.
Эндодонтическое обследование длится от 15 до 30 минут и проходит в 4 этапа, каждый из которых одинаково важен для точности диагностики и успеха лечения.

* История болезни пациентов: это этап, на котором стоматолог беседует с пациентом и пытается узнать как можно больше подробностей о его зубной проблеме.
* На втором этапе стоматолог тщательно осматривает с помощью ручного труда и специальных приборов предполагаемый проблемный зуб, а также те, с которыми он соприкасается при закрытом рте пациента. Чрезвычайно важным элементом является эндодонтический микроскоп-устройство, которое увеличивает и дает достаточно яркого света, чтобы заметить детали, которые не видны невооруженным глазом.
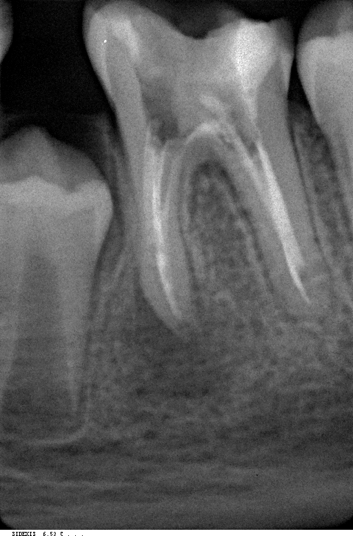
*Далее-берутся рентгенограммы. Во время Эндодонтического лечения берутся несколько наборов рентгенограмм. В начале по крайней мере два необходимы.
*После того, как стоматолог приводит в порядок все фрагменты информации, следует последняя и, возможно, самая важная часть обследования: составляется план лечения и разъясняется понимание пациентов, а также стоимость и сроки его проведения.
* Эндодонтическое лечение в обязательном порядке определяется электронным устройством под названием apex locator и проверяется с помощью нескольких рентгенограмм, сделанных с иглой в каждом корневом канале.
*Далее идет обтурация корневого канала, который предназначен для "уплотнения" против будущего вторжения бактерий, которые могут повторно заразить зуб и, следовательно, ставят под угрозу лечение корневого канала.
До лечения Во время лечения Спустя 6 мес



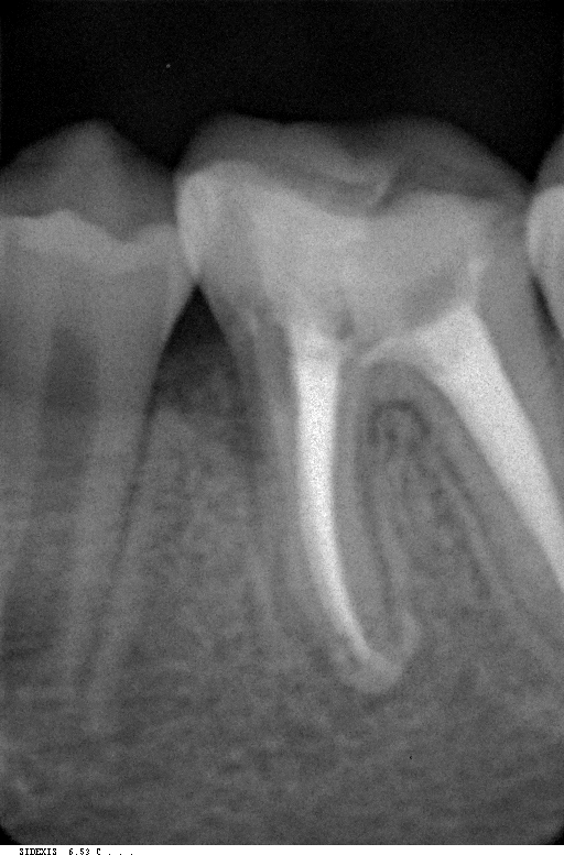
Для проверки правильности процедур берется одна или несколько “контрольных” рентгенограмм. Несмотря на то, что многие считают Эндодонтическое лечение завершенным после обтурации корневого канала, есть по крайней мере два одинаково важных шага для здоровья и долголетия зуба.




